09:44AM, Thursday 27 October 2016
Simon Ratcliffe
We’ve got some fascinating cases to share with you this month.
Arky is a gorgeous 9 month old red setter. He presented to us feeling vey poorly and being regularly sick. We admitted him into the practice to do some tests - blood samples and x-rays. The x-ray we took is below.

The white item you can see in his abdomen is a stone! Arky had willingly eaten this stone! It had made its way through his stomach, through the top of his intestines before getting stuck halfway through his guts. At this point things became very serious. If this stone was left where it was Arky would become even more ill. So we took him straight to theatre where we removed the stone surgically.

Arky stayed with us for three days whilst we got him going again - the care these patients receive after these major operations is absolutely vital to success. Our nurses very carefully fed him and nursed him back to form. Unfortunately sometimes dogs that eat ‘foreign bodies’ likes stones can die, so it is extremely serious. To everyone’s delight though Arky has made a full recovery and is now back at home getting up to more mischief!
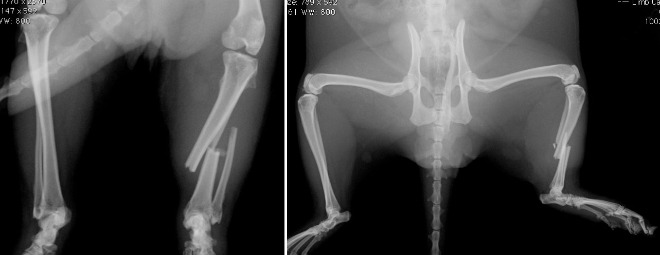
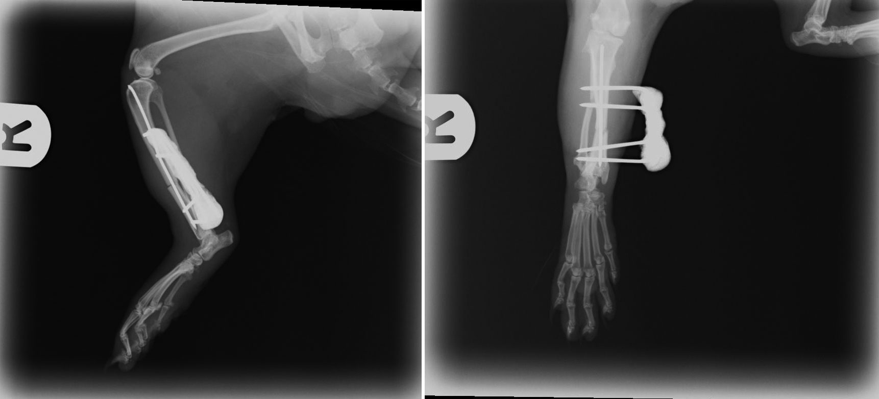
Jack Daniels (JD) is a ferret who came to see us in September with a very lame leg.

We x-rayed him and found that unfortunately he had broken his leg.

This presented us with quite the challenge because JD’s bones were so tiny. I performed an extremely fiddly operation to fix his bones back together again. Below you can see the x-rays we took after the operation - the white lines are tiny 1mm wide pins that are holding the two ends of bone together whilst the body heals them. The operation went extremely well and JD should make a full recovery.

It’s that time of year again when firework celebrations are abound. Whilst this is great fun for humans, unfortunately it isn’t for our pets. They can suffer from varying degrees of anxiety that, unfortunately, often get worse and worse each year. Thankfully we now have some medications that can really help calm dogs down in this situation. There are some herbal remedies that can help some dogs, or stronger drugs specifically designed for firework phobias. If your pet suffers then get in touch, we suggest an appointment with the vet for an examination and discussion of the problem, then we can work out what treatment, if any, is best for your pet.
Top Articles